小地雷(小地雷咸菜)

小地雷

养生之道,贵在坚持,关注也是??




典型病例解说


一天早晨,健康管理中心彩超诊室外像往常一样,早早的已经开始有体检者在等待。七点整,彩超医生们开启了一天忙碌的体检工作模式。

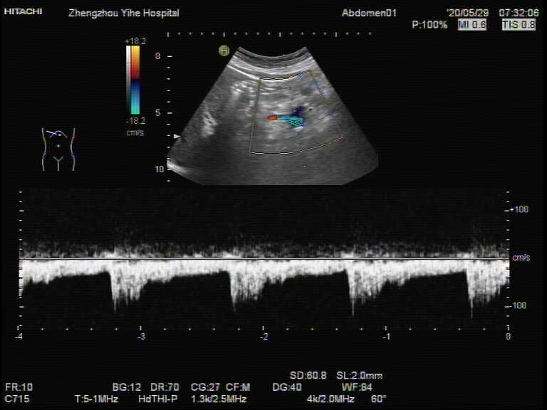
一位五十多岁男性进入诊室,这是他们单位每年例行常规来体检,彩超医生仔细认真的检查腹部各个脏器,当查至胰腺时,似乎未见明显的异常,但再仔细观察后发现胰腺的尾部后下方好像有模糊的包块。会不会是胰腺的肿块呢?彩超医生调节机器,包块逐渐清晰,是一个大小约29x23mm囊性回声。是囊肿吗?又是一个疑问!接下来医生对这个包块加个彩色多普勒,里面迅速充满了血流,哦!原来是个血管!是动脉还是静脉呢?利用频谱多普勒鉴别一下,答案马上出来:是动脉血流!(图1、2)

经过这样一波三折,医生终于确定了它的性质。

小地雷

图1

图2

那么,接下来事情并没有结束,医生还要进一步探明是什么血管,从哪儿来,到哪里去。

要在腹腔内众多的脏器、血管、神经、淋巴等等复杂错综的结构中查明病变并不是一件容易的事情,需要彩超医生足够的耐心,过硬的技术以及扎实的解剖基础。

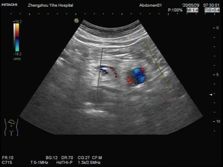
经过我们彩超医生细致耐心的检查,依据血管的来源及走形方向,发现这个包块其实是一支细窄的血管,局部呈囊状扩张,接近正常血管宽度的4倍以上(图3、4)。根据种种迹象表明它可能是脾动脉瘤。

图3

图4

检查结束后,医生向患者说明情况,解释了我们所观察到病变的可能性,建议他进一步做血管造影检查明。2周后,我们医生电话追踪回访,了解到他已经在某三甲医院进行了血管造影,明确为脾动脉瘤。之后进行了介入手术。

通过这件事情再次说明,没有症状不代表没有疾病,同时也让我们再次深体会到健康体检的必要性。而我们的彩超医生有时候就像是一个侦探,不能放过一点蛛丝马迹,在种种可疑的信息中抽丝剥茧,寻找真凶,识破庐山真面目。



脾动脉瘤


脾动脉瘤是指脾动脉扩张而形成的动脉瘤。事实上全身动脉的任何部位均可能发生异常扩张。当动脉扩张至正常直径的1.5倍,即可诊断为动脉瘤。脾动脉瘤最大的威胁是瘤体破裂,文献报道提示瘤体直径大于2CM以上即有破裂的风险,脾动脉破裂前多无明显的特异性症状,所以它就像是人身体内的“小地雷”随时有爆炸的危险,之所以前面加一个“小”字,是因为脾动脉瘤属于内脏动脉瘤,内脏动脉本身就很细窄,而且位置隐匿,不如大动脉那样容易被发现。一般临床检查难以发现,脾动脉瘤破裂后出血速度较快,可导致患者很快出现休克、甚至死亡。

脾动脉瘤的病因一般认为与动脉壁结构异常和内分泌水平改变有关。主要病因包括动脉粥样硬化、纤维肌性发育不良、多次妊娠、急慢性胰腺炎等,脾动脉瘤起病极为隐匿,多无明显症状,偶有左上腹不适感,可向左肩胛放射。一旦出现明显左上腹或左季肋区疼痛、恶心、呕吐等症状,往往预示动脉瘤先兆破裂。虽然脾动脉瘤整体破裂率并不太高,约为9.6%左右,但一旦脾动脉瘤破裂,死亡率可达25%,且大多数脾动脉瘤在破裂后并不能得到及时准确的诊断。需特别指出的是:脾动脉瘤在妊娠期更容易发生破裂,并且其死亡率可上升至高达70%。所以,针对脾动脉瘤的治疗应更为积极,目前腔内介入治疗为脾动脉瘤的首选治疗方案。

脾动脉瘤的检查方法有很多种:腹部平片,彩色多普勒超声,CTA和MRA,动脉造影是诊断内脏动脉瘤的“金标准”。

随着健康体检的逐渐普及、腹部彩色多普勒超声的广泛应用,脾动脉瘤的检出率不断提高,在一定程度上降低了因动脉瘤破裂导致的死亡率。




文 字|齐丽敏

美 编|郭   洋

审 核|余俊奇


联系我们

来院地址

郑东新区农业东路与平安大道交汇处

咨询电话

0371-56570711

0371-56570719


长按下方二维码关注我们

郑州颐和医院

国际健康管理中心

为避免错过每日推送

请点击下方 分享+点赞+在看

转载请说明出处 内容投诉内容投诉
九幽软件 » 小地雷(小地雷咸菜)