vergae腔(vergae腔扩大是什么意思)

透明隔是含有神经纤维和灰质细胞的薄膜,位于两侧脑室之间并构成侧脑室的内壁,从侧面看,透明隔呈三角形,底在前方,尖端向后,其上方与胼胝体体部的下表面相贴,后部为穹隆与胼胝体的汇合点,后下方为前部穹隆,前下方为胼胝体嘴的上表面,正前方为胼胝体膝部。

vergae腔


透明隔间腔和Vergae腔

透明隔间腔又称第五脑室,Vergae腔又称穹隆腔或第六脑室;多见于婴幼儿的影像检查,随着年龄增长这些腔隙多数将逐渐闭合,少数永存于成年人。胎儿在4个月时原始透明隔内形成一个中缝,逐渐发展为分离的两个小叶,两叶之间为充满脑脊液的腔隙,即透明隔间腔。vergae腔可与侧脑室或三脑室相通,如果不相通,腔内脑脊液就需要通过透明隔膜过滤,并由隔膜静脉及毛细血管重吸收。成年人的透明隔间腔多数是由先天性因素引起的透明隔发育不全所致,也有报道后天因素可致透明隔间腔或囊肿形成,如外伤导致透明隔撕裂,脑脊液进入两层隔膜之间,形成积液,或外伤后透明隔本身分泌液体充盈已闭合的透明隔间隙,形成囊肿。

Vergae腔位于胼胝体和后穹隆之间,上部和后部是胼胝体的体部与压部,前方和侧方是穹隆柱和体部,下方是穹隆联合,向后下延伸终止于穹隆脚附近。一般认为Vergae腔多为透明隔间腔向后扩展形成,但偶尔也可单独存在,形成原因可能是海马联合闭合不全。临床上Vergae腔常与透明隔间腔同时存在,并且互通,故统称为第五、六脑室;Vergae腔与脑室系统一般不相通。

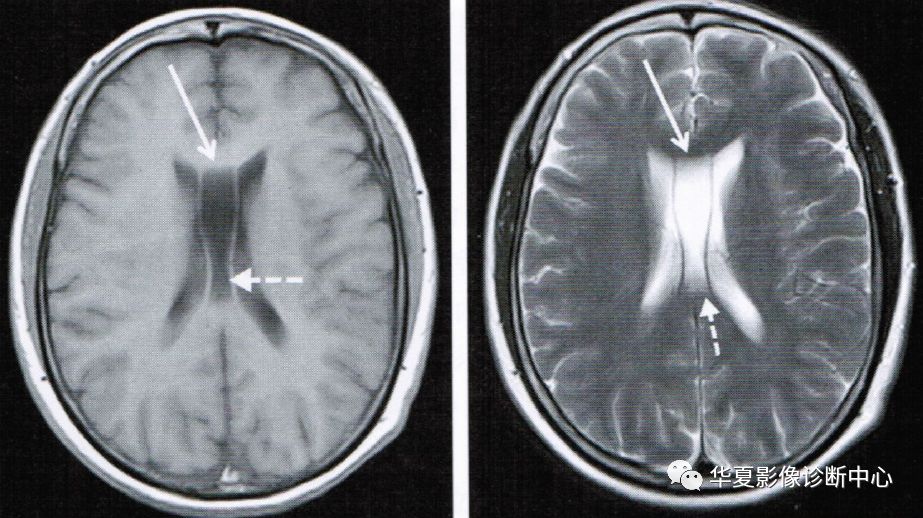
上图为第五脑室

上图为第五脑室(实箭头)、第六脑室(虚箭头)

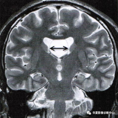
透明隔间腔出现在第三脑室上部层面,位于侧脑室额角之间,呈条带状、三角形、类梯形脑脊液密度,边界清楚,两侧壁多平行向后直抵侧脑室室间孔,两侧壁之间宽度最少要>1mm且<10mm

上图为透明隔囊肿

透明隔囊肿表现为透明隔两侧壁弯曲甚至膨隆,失去正常平行状态,且侧壁间距>10mm


透明隔间腔和Vergae腔属于正常的解剖变异,通常无临床意义,但有资料表明透明隔间腔可引起头痛、癫痫等非特异性神经、精神症状,或是伴有其他颅内先天畸形,无临床症状或症状轻微者一般无需治疗,可随访观察vergae腔,出现严重头痛或癫痫发作时应给予对症处理。症状较重且内科保守治疗无效者,可选择囊腔与侧脑室内引流或腹腔引流手术,大多预后良好;若合并脑发育不全、脑萎缩或颅内肿瘤时,预后不佳。


转载请说明出处 内容投诉内容投诉
九幽软件 » vergae腔(vergae腔扩大是什么意思)