黎晖(黎晖南京)

心室流出道是无结构性心脏病患者室性早搏和特发性室速最常见的起源部位,而导管消融是指南推荐的治疗此类室性心律失常的有效方式。

射频消融在这些部位消融时可能会导致一些并发症,如冠状动脉损伤、房室传导阻滞或瓣膜功能障碍。

脉冲场消融(PFA)作为一种非热能损伤的新型能量,能够通过亚秒级电脉冲诱导细胞膜的不可逆电穿孔。尽管有很多研究证实了PFA 在治疗房性心律失常方面的有效性和安全性,但将其用于起源于心室流出道的心律失常方面仍未有充分证据。

阜外医院姚焰、郑黎晖等采用了一种新型 PFA 导管在临床前猪模型中对心室流出道——特别是 PSCs 和 ASCs内进行了可行性和安全性方面的探索。

黎晖在本临床前研究中,总共 12 只约克夏猪被平均分为三个存活亚组:(a)消融后 24 小时;(b)消融后 2 周;(c)消融后 4 周。

该新型PFA导管采用微秒级双相波形,输出为±750V,每个点位应用持续时间为 4 秒。在实验过程中,利用X线透视、心腔内超声(ICE)和 3D 标测系统(EnSite NavX)实现PFA 导管的精确放置(图 1)。

ICE 导管被放置在右心房或右心室流入区域,便于清晰的看到肺、主动脉瓣上、瓣下结构。对于在 ASCs 中的消融,通过ICE实现对冠脉开口的可视化,保证消融导管尖端与冠脉开口的安全距离。

注:A~D:冠状动脉造影示主动脉窦及冠脉开口。E~G:基于ICE,PFA导管尖端(白色箭头)位于LCC、RCC和NCC。H~I:在RAO和RAO 30o视图中显示ASCs各消融位点的位置;J:导管尖端位于NCC时的电图。LVOT:左心室流出道;RCC:右冠状窦;LCC:左冠状窦;NCC:无冠状窦;RCA:右冠状动脉;LAD:左前降支;LCX:左回旋支;LA:左心房;RA :右心房;LAO:左前斜;RAO:右前斜。

图1 左心室流出道标测与定位

术后在 ASCs 和 PSCs 的每个消融部位均观察到起搏阈值升高和电压幅度降低(图2)。

注:A~B:RVOT、LVOT各消融位点电压幅值均明显降低。C~D:RVOT、LVOT各消融部位的起搏阈值均明显升高。NCC:无冠状窦;RCC:右冠状窦;LCC:左冠状窦;AC:前瓣;RC:右瓣;LC:左瓣。

图2 消融前后电压幅度和起搏阈值的变化

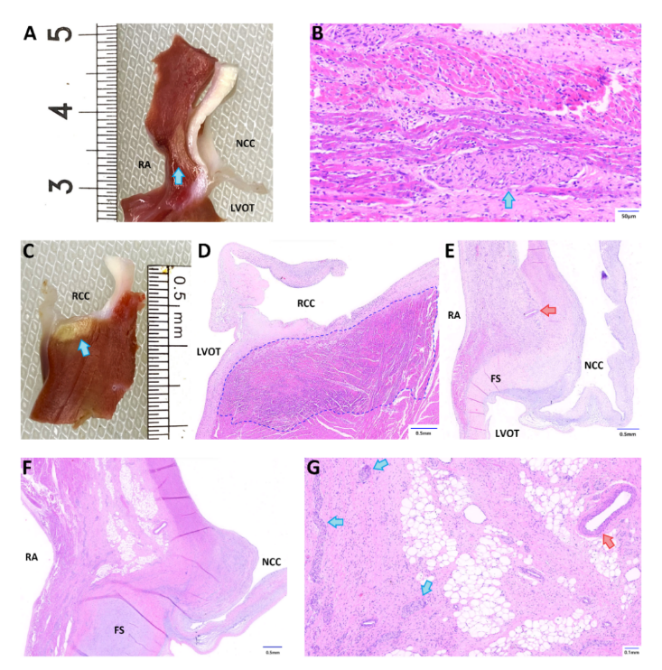
在消融术后24小时内,在ASC和PSCs形成了界限清晰的PFA损伤灶,深度分别为(3.9±0.9) mm和(4.3±1.2) mm。

值得注意的是,PFA应用于无冠窦也导致右心房出现明显损伤(图3A)。在PFA 消融后2周和4周,观察到消融的心肌组织被修复,出现了广泛的肉芽组织和新生血管形,继而形成广泛而连续的纤维化(图3)。

另外,在RVOT的游离壁观察到均匀且透壁的PFA损伤灶。

注:A:消融后24h NCC处的PFA损伤(蓝色箭头);B:神经没有附带损伤(蓝色箭头),而周围的肌细胞受损。C~D:RCC消融后24h形成边界清楚的病灶(蓝色箭头);E:2周后NCC处PFA病变的组织学。F:消融后4周NCC的PFA病灶;G:对神经(蓝色箭头)和动脉(红色箭头)没有附带损害。LVOT:左心室流出道;NCC:无冠窦;RCC:右冠窦;RA:右心房;FS:纤维骨架。

图3 左心室流出道PFA消融病灶

在PFA消融前后,A-H、H-V、A-V以及V-V间期均无显著差异,这表明在 PFA 消融后未出现明显的房室传导阻滞。

对 NCC 消融部位的组织学检查显示,心脏传导束的神经和关键组成部分未出现附带损伤,而周围的心肌细胞受损或被纤维组织替代。

在对 ASCs 进行 PFA 消融后,经血管造影评估的左、右冠状动脉血流灌注未受影响。此外,所有动物在术中均未出现 ST 段抬高。基于 ICE 成像,消融过程中未观察到瓣膜功能障碍,PFA 消融后主、肺动脉瓣功能未受影响。在术后 4 周进行了 TEE 检查,未观察到严重肺、主动脉反流。

作者指出,在这项临床前研究中,新型PFA导管对PSCs和ASCs产生了持久且不可逆损伤,未出现冠状动脉损伤、房室阻滞或瓣膜功能障碍。这些结果表明,该PFA导管可以安全应用于心室流出道,特别是肺、主动脉瓣上消融,为后续应用于人体内心室流出道起源的室性心律失常的消融提供了理论依据。

阜外医院唐闽等发表综述指出,目前,PFA 的临床研究主要聚焦于心房颤动,针对室性心律失常的研究大多仍处于动物实验阶段。作为一种方兴未艾的新型消融能源,PFA 对于心肌组织的特异性损伤具有独特优势,尽管目前认为其对冠状动脉的损伤较小,但若将其置入冠状静脉系统( CVS)内消融,可能存在诱发冠状动脉痉挛的潜在风险,具体消融参数、心室肌有效损伤深度及远期组织学改变仍需进一步研究。

来源:[1]Feasibility and Safety of Pulsed Field Ablation at the Ventricular Outflow Tract Using Focal Point Catheter. Heart Rhythm. Published online November 1, 2024.

[2]米利杰, 张宏达, 唐闽. 经冠状静脉系统消融治疗室性心律失常的研究进展[J]. 中国循环杂志, 2024, 39: 204-208. DOI: 10.3969/j.issn.1000-3614.2024.02.015. 【扫描二维码查看全文】

载: 请标明“中国循环杂志”

登录中国循环杂志官网(www.chinacirculation.org)“期刊目录”或小程序(中国循环杂志+),可免费阅读和下载本刊所有文章!

关于非法网站冒用我刊名义进行征稿的特别提醒
近期我们发现一些网站冒用“中国循环杂志”名义征稿,并承诺“职称论文权威快速发表”。
我刊郑重提醒各位作者,向《中国循环杂志》投稿,一定要登录中国循环杂志官方网站:
http://www.chinacirculation.org
进入“作者投稿”,在“作者投稿管理平台”中投稿。
本刊联系电话:010-68331974
订阅点击:
http://chinacirculation.org/WX/home/zxdy


转载请说明出处 内容投诉内容投诉
九幽软件 » 黎晖(黎晖南京)