囊腔型肺癌(囊腔型肺癌有良性和恶性)


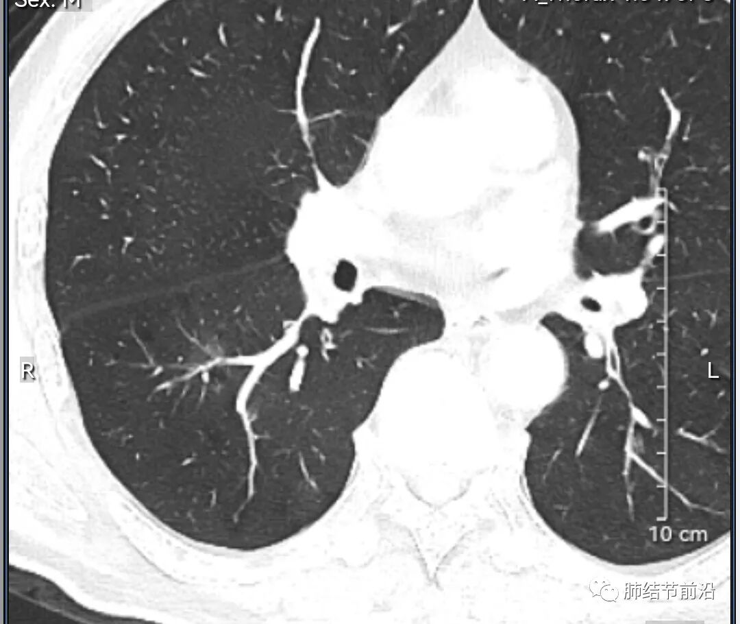
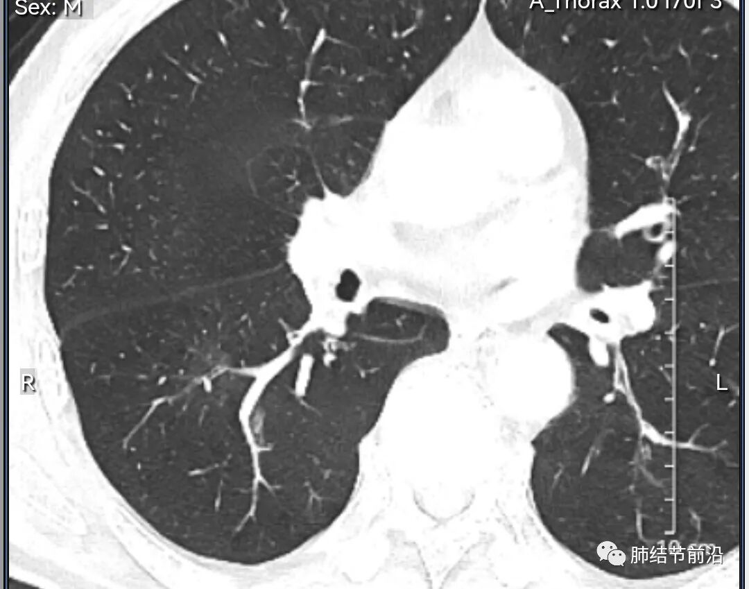
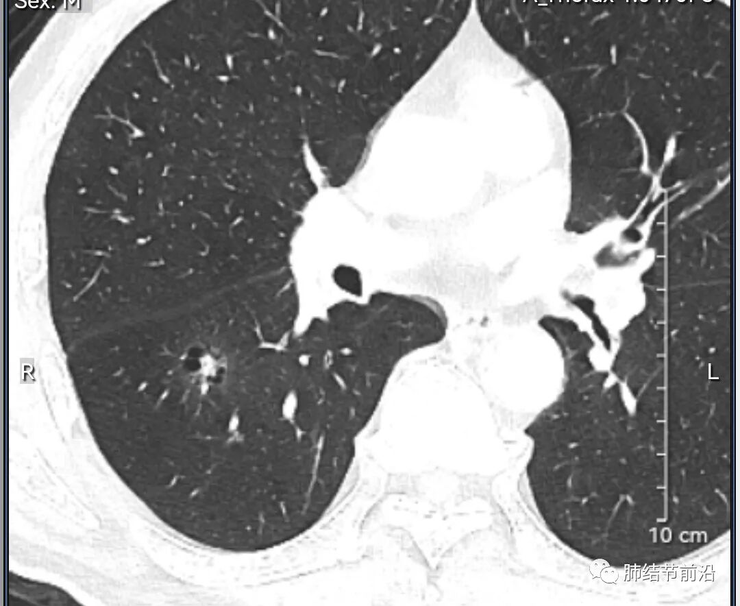
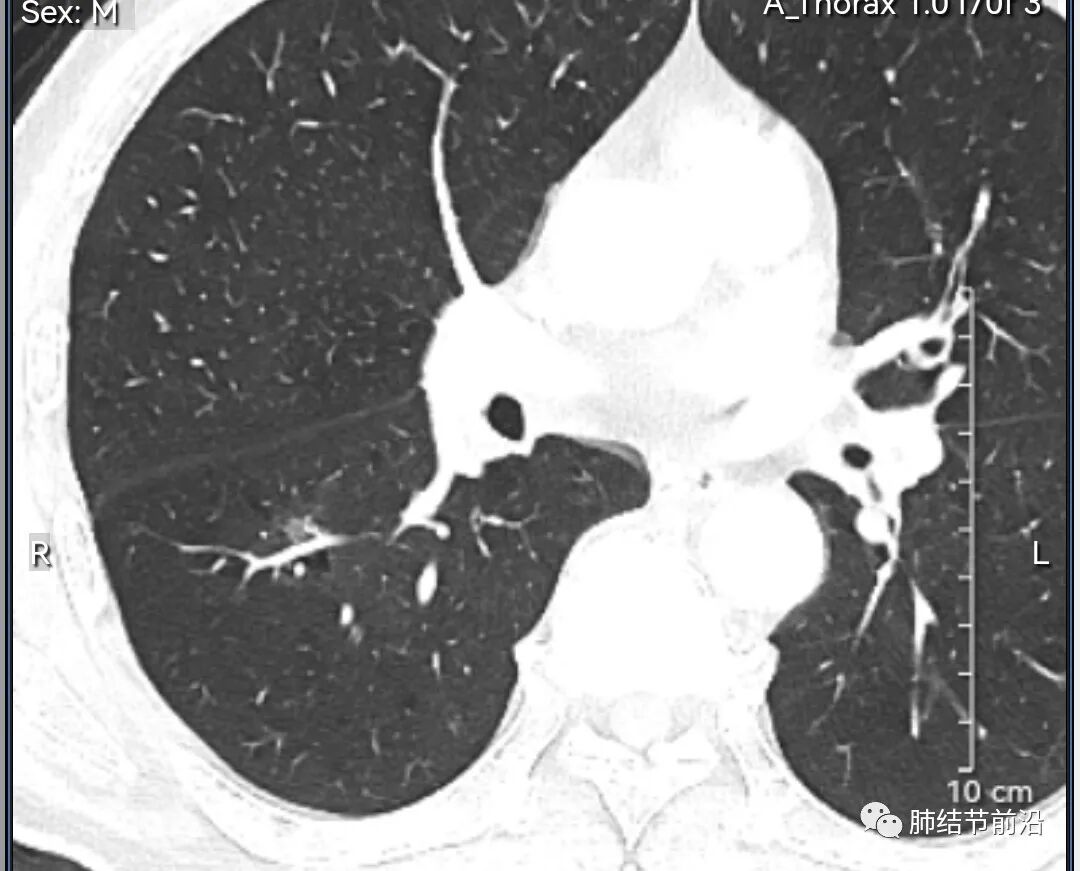
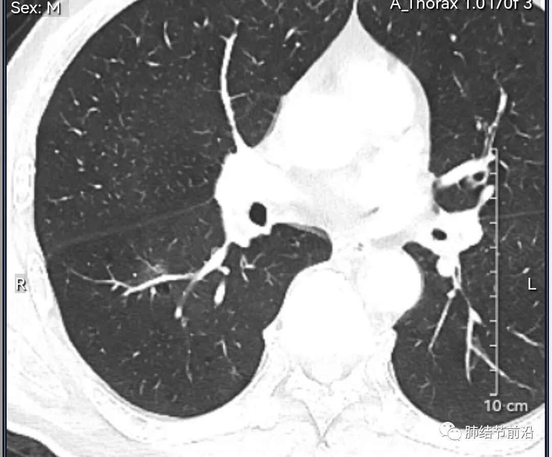
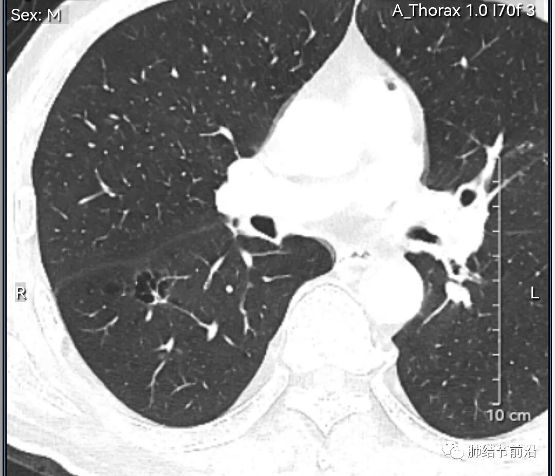
男性,67岁,重度吸烟史。CT发现右下肺囊腔。来看一下这个CT的特点:

?
?
囊腔型肺癌
?
?
?
?
?
?
?
?
?
?
?
?
?
?
?
?


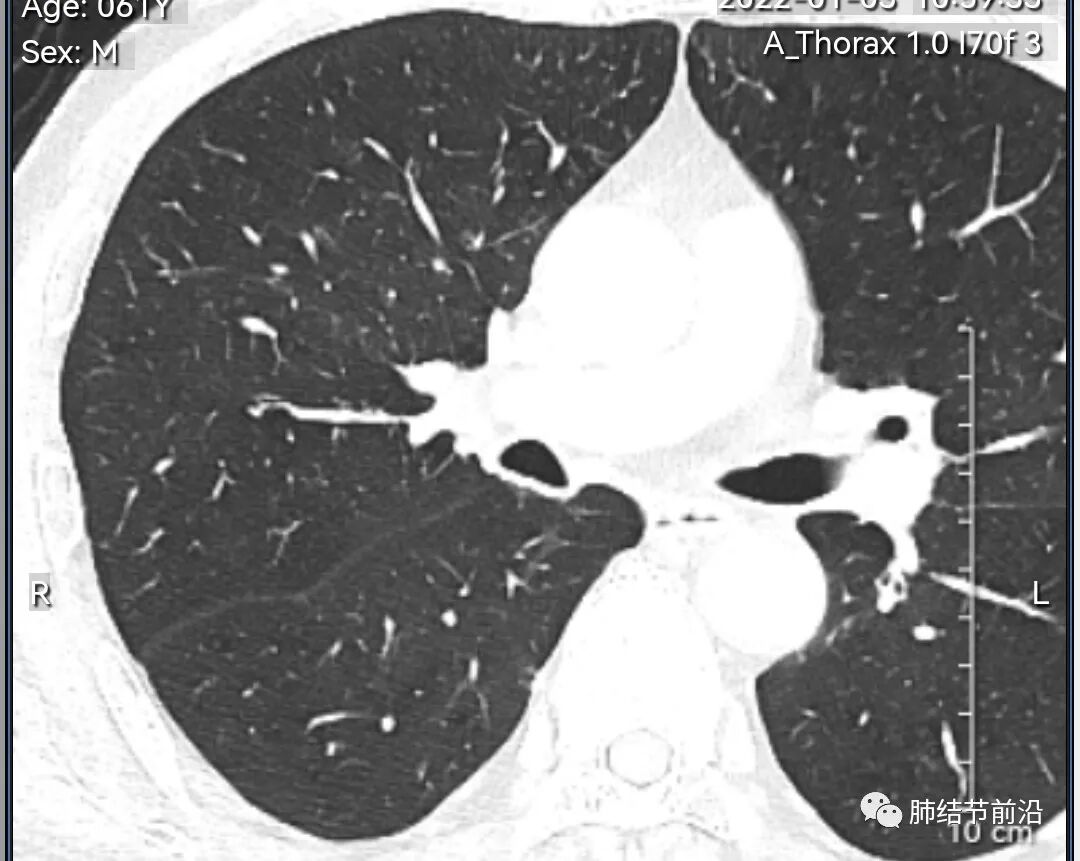
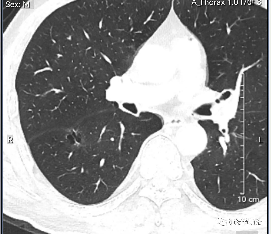
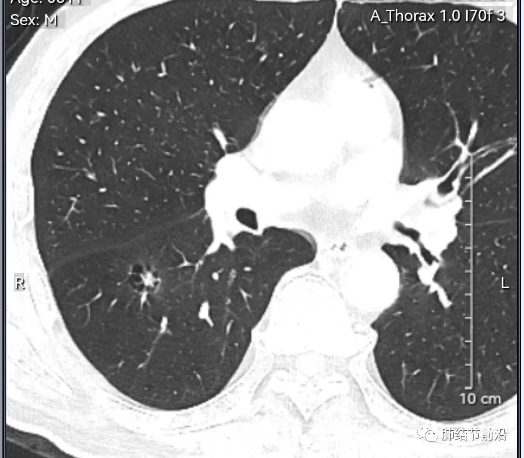
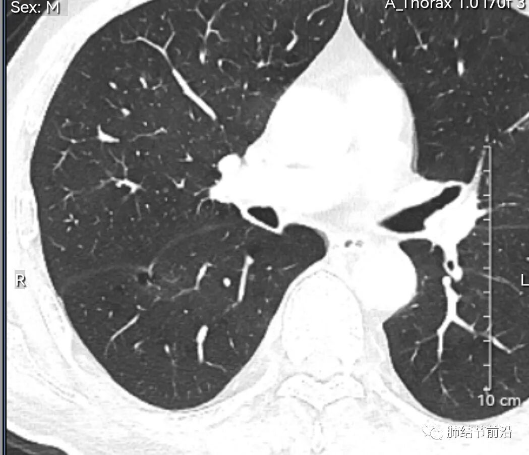
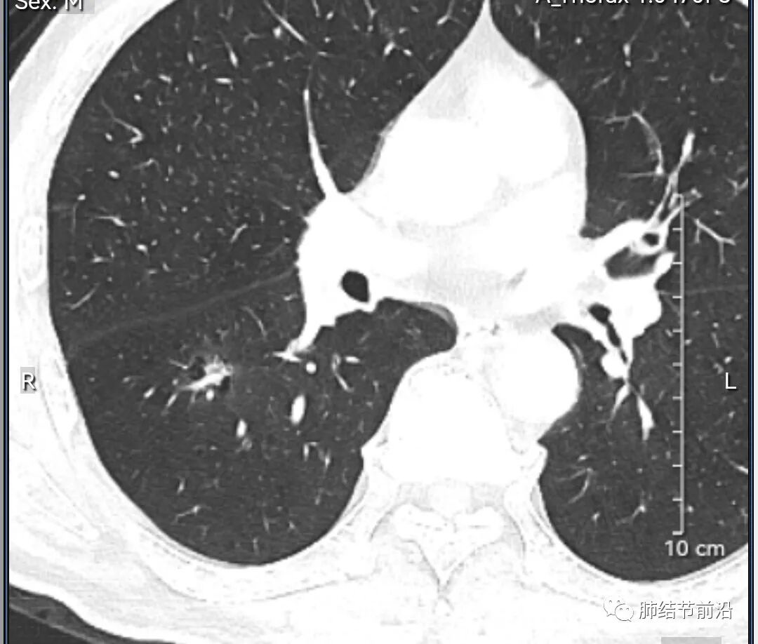
该囊腔形态非常有特点,和常见的圆形肺大泡有很大的区别。


1.囊腔中央实性成分,周围有磨玻璃影。

2.囊腔中央有血管。

3.囊腔外周有分叶形态。

4.囊腔有胸膜牵拉。


出现这几种形态,CT可以确认恶性的腺癌。这个囊腔形成的机制,为肿瘤实性成分堵塞细支气管形成活瓣,肺泡内压力增高破裂行成,因此肺内血管成分保留。由于肺泡压力增高,而呈分叶状。另外,也有肿瘤的胸膜牵拉这一特点。


囊腔周围磨玻璃+囊腔中央血管为特征性表现。如果持续存在,几乎可以100%确认为早期肺腺癌。


建议患者手术切除,术后病理为浸润性腺癌,腺泡型,部分为实体型。IA1期,术后不用治疗。


?


目前这种类型的囊腔型肺癌的影像特点已经比较普及,很少会有漏诊的情况出现了。


转载请说明出处 内容投诉内容投诉
九幽软件 » 囊腔型肺癌(囊腔型肺癌有良性和恶性)