心一(心一跳,爱就开始煎熬)

心一

2021年6月,首都医科大学附属北京安贞医院集中优势资源,成立了全国第一家心脏瓣膜病介入中心以来,该中心充分发挥介入手术创伤小、风险低、并发症少以及术后恢复快的优势,迄今已完成千余台心脏介入手术。手术范围不仅涵盖了既往传统结构性心脏病的介入治疗领域,同时积极开拓各类主动脉瓣疾病介入手术、各类二尖瓣疾病介入手术,给众多外科手术高危、以及不能耐受外科手术的患者带来了新的手术机会。同时,该中心还在心脏瓣膜疾病领域进行积极探索,立项并开展三尖瓣疾病介入治疗的临床注册研究、主动脉瓣介入术后相关起搏器植入等多个临床注册研究。依托规范化诊疗流程、合理的治疗团队以及推动科学创新,该中心在成立不到1年时,即走在全国前列。

作者:姜正明

  患者术前资料  

59岁,女性,16年前出现胸闷不适,活动后加重,休息后约20分钟缓解无胸痛、头菜、晕厥等伴随症状,至外院住院治疗,给于主动脉瓣生物瓣置换(佰仁思 21#)、二尖瓣生物瓣置换(佰仁思25M)、三尖瓣成形手术治疗,术后恢复可,11年前发意识丧失具体不送,至外院检查提示心律失常,房室传与阻滞,给予起博器植入,3年前出现心悸不适,再次至医院检查提示心房纤颤,住院后行房颤射频消融治疗,术后恢复可。5月前发热后出现胸闷、乏力,伴喘憋,至外院诊断为心力衰竭,超声示二尖瓣生物瓣损毁、二尖瓣狭窄并关闭不全、三尖瓣重度关闭不全,给与利尿、扩血管、抗重塑等对症支持治疗,好转后出院。3月前患者因心脏瓣膜病入住我科,行超声:主动脉瓣及二尖瓣位人工生物瓣置换术+起博器置入术后,主动脉人工生物瓣指功能正常,二尖瓣人工生物狭窄(重度)并反流(中度),未见瓣周漏,三尖关闭不全(重度),查甲功五项测定(TLA):TT3 3.69 nmo1/L,TT4 241.470 nmo1/L, hTSH 0.01 mIU/L,FT3 10.780 pmo1/L,FT4 49.600 pmo1/L诊断为桥本氏甲状腺炎,内分泌会诊建议避免大量碘剂摄入,遂出院,出院后干以甲硫咪唑控制病情。1周前院外门诊查甲功五项:T3:0.82 ng/m1,T4:10.04 ug/ml,FT3 :3.09 pg/ml,FT4:0.73 ng/dl, TSH:759 uIU/ml,现为求进一步治疗来我院,以“心脏瓣膜病二尖瓣生物瓣置换术后二尖瓣生物瓣重度狭窄”收住我科。

既往史:高血压病史,血压最高180/110 mmHg,高脂血症病史

入院诊断:

1.心脏瓣膜病

二尖瓣生物瓣置换术后

主动脉瓣生物瓣置换术后

三尖瓣关闭不全(重度)

心衰 心功能III级

2.心房颤动(出血高危的非瓣膜性房颤)

房颤射频消融术后

3.永久起搏器术后

4..动脉粥样硬化

5.高脂血症

  术前评估  

患者59岁,已于主动脉瓣和二尖瓣生物瓣置换16年,其中主动脉瓣为21mm小直径生物瓣,但目前无生物瓣衰败;二尖瓣已生物瓣衰败,本次手术若采用外科开放式手术置换二尖瓣,患者不久会面临三次开胸置换主动脉瓣,全生命周期中甚至需要四次开胸手术;而此次手术采用微创手术,可以考虑二次开胸手术时同时置换二尖瓣和主动脉瓣,减少患者全生命周期中的开放式手术次数。

超声提示:主动脉瓣及二尖瓣位为人工生物瓣回声,瓣环位置固定,主动脉瓣瓣叶活动良好,CW:主动脉瓣流速:Vmax268cm/s、最大压差 28mmHg。

二尖瓣瓣叶增厚、毛糙、闭合欠佳,PHT法测二尖瓣人工生物瓣口积:1.2cm2,cw估测二尖瓣瓣口平均跨瓣压差:8mmHg,CDFI:收缩期二尖瓣房侧见中量反流信号,最大反流面积约5.0cm2。三尖瓣缘轻度增厚,前叶及隔叶见可见关闭裂隙约3mm。CDFI:收缩期三尖瓣房侧见大量反流信号,反流面积11.1cm2,TRVmax:3,27cm/s,PG:43mmHg,TI法估测SPAP:53mmHg

主动脉瓣及二尖瓣位人工生物瓣置换术+起搏器置入术后

主动脉瓣人工生物瓣功能正常

二尖瓣人工生物瓣狭窄(重度)并反流(中度)未见瓣周漏

三尖瓣关闭不全(重度)双房增大,左室偏小升主动脉增宽

CT评估:既往植入佰仁生物瓣,25#,True ID 23mm, 高度17mm,房间隔穿刺高度约为25.6mm, 模拟植入23mm SAPIEN 3后,Neo-LVOT 153.7mm2 小于170 mm2,aorta-mitral 平面角度125.9°,mitral-septum distance 3mm,有流出道狭窄风险。CT推荐角度为RAO 40°,房间隔无明显钙化、膨出,房间隔长度可满足穿刺需要。拟植入SAPIEN 3 23mmPLUS3ml。 

心一

  手术过程  

患者全麻,摆体位可寻找衰败生物瓣的切线投照体位,后消毒铺巾,穿刺双侧股静脉,左侧股静脉植入临时起搏器,右侧股静脉作为主入路,在超声指引下,按术前CT评估要求穿刺房间隔到达左心房,肝素化后(ACT>250秒),导入Agilis可调弯鞘管到达左心房,Pig造影导管跨过二尖瓣到达左心室心尖部,导入Safari导丝到达左心室;以12×40mm球囊扩张房间隔确认SAPIEN 3瓣膜可通过后,导入反向安装的23mm+3ml瓣膜到达下腔静脉,组装成功后,翻转其调弯系统后送入到左心房,跨过衰败的二尖瓣,在切线投照体位定位精确后,快速心室起搏下释放瓣膜,见瓣膜位置良好,超声显示无瓣周漏,测量左心室和桡动脉压差稍增高,超声显示LVOT流速稍增快;撤出瓣膜输送系统及导丝,撤出临时起搏电极,局部加压包扎,患者清醒后安返病房。

  DSA手术过程  

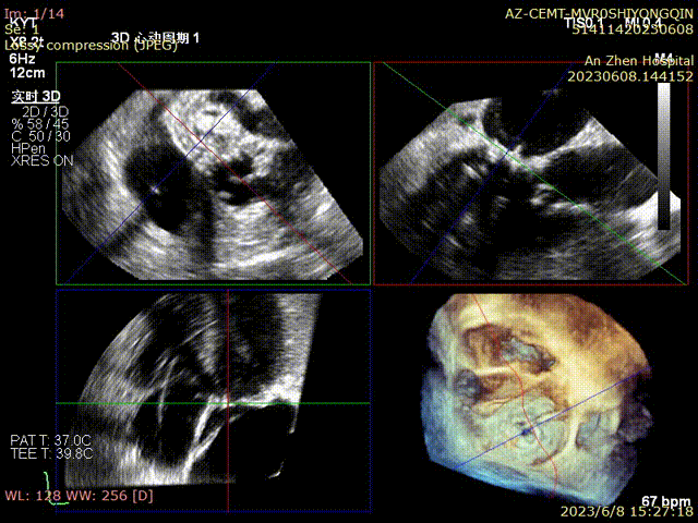
术前食管超声检查确认人工二尖瓣衰败,重度关闭不全

确认DSA投照体位

超声指引下房间隔穿刺

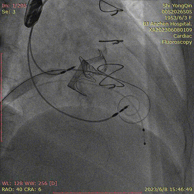
可调弯鞘指引下跨瓣

心一

房间隔穿刺点扩张

球囊测试瓣膜的通过性

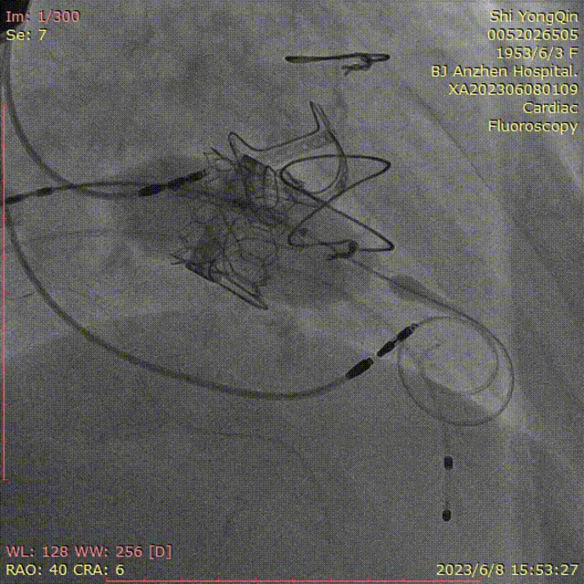
瓣膜导入

瓣膜的定位及释放

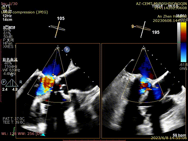
术后超声评估无反流

  手术心得  

1.患者首次心脏瓣膜手术必须充分考虑患者的全生命周期,否则会明显增加患者的痛苦和经济负担;

2.术前必须充分了解原生物瓣的品牌,结构特点及尺寸,瓣环是否可以打开等;
3.选择瓣膜及制定手术策略,CT评估非常重要,尤其注意Neo-LVOT等;
4.房间隔穿刺位点关系到瓣膜的通过及瓣膜的同轴性,精确的穿刺位置十分重要,必须食管超声指引下穿刺;
5.术前必须了解患者手术是否房间隔切开及房间隔补片等情况,制定房间隔不易通过时的措施及相关器械准备
6.SAPIEN 3瓣膜无鞘管,不能回收,所以瓣膜系统送入前以球囊测试其通过性十分重要;
7.瓣膜通过后,其同轴性一般不良,需依靠球扩瓣的自适应同轴的性能,所以定位时预测瓣膜在释放过程中的转动方向和位移情况非常重要。

专家简介

宋光远

首都医科大学附属北京安贞医院

宋光远,中共党员,教授,博士生导师

现任首都医科大学附属北京安贞医院心脏瓣膜病介入中心主任。

专业擅长:主动脉瓣狭窄/反流,二尖瓣狭窄/反流,肺动脉瓣狭窄/反流,三尖瓣狭窄/反流,心房颤动合并脑梗或者脑出血,生物瓣膜毁损,瓣周漏(PVL),卵圆孔未闭(PFO),复杂冠心病的介入治疗。

2015年作为国内首位专业人员赴美完成瓣膜性心脏病介入诊疗博士后培训,是结构性心脏病和复杂冠心病介入治疗手术量国内名列前茅的专家,牵头和参与了结构性心脏病和复杂冠心病介入治疗相关基础和临床研究20余项。

作为核心成员主持或者参与十余项国家以及省部级重大课题,申请及获得结构性心脏病相关的国家发明以及实用新型专利10项;

发表多篇中英文结构性和冠心病心脏病领域创新性研究高质量论文,他引次数超过140次。作为主要完成人之一,曾获得教育部高等学校科学研究优秀成果奖一等奖和北京市科技进步一等奖。

中国医师协会心血管病分会结构专家委员会秘书;中华医学会北京分会心血管病委员会结构学组副组长;亚太结构性心脏病青年俱乐部核心工作组秘书长;亚洲心脏病瓣膜病学会中国分会心脏瓣膜病介入治疗 技术学术委员会副主任委员;中国医疗保健国际交流促进会心血管预防治疗分会“冠心病防治学组”委员;世界中联专业委员会心血管介入协会常务理事;长城心脏病学大会日程委员会委员中国结构周核心工作组秘书长


延伸阅读

“贞”心一“课”|一例P1接近交界区重度MR患者TEER手术

“贞”心一“课”|安贞医院心脏瓣膜中心宋光远教授团队完成一例A2、A1区脱垂TEER手术

“贞”心一“课”|二尖瓣后叶巨大脱垂TEER治疗1例

“贞”心一“课”|二尖瓣前叶宽大脱垂伴腱索断裂TEER治疗1例

“贞”心一“课”|二尖瓣前叶冗长脱垂病变累及前交界区TEER成功治疗1例

“贞”心一“课”|二尖瓣后叶巨大脱垂TEER治疗1例

“贞”心一“课”|90岁高龄老人二尖瓣后叶宽大脱垂TEER成功治疗1例

“贞”心一“课”|巨大心房的二尖瓣脱垂病变TEER治疗房间隔穿刺技巧解析

“贞”心一“课”|高龄患者二尖瓣前交界+A1-P1巨大脱垂TEER成功治疗1例

“贞”心一“课”|瓣膜介入中心成功治疗1例严重主动脉迂曲并脊柱侧弯畸形的高龄主动脉瓣狭窄患者

“贞”心一“课”|双侧冠状动脉-左室瘘合并巨大动脉瘤介入治疗1例

“贞”心一“课”|TAVR治疗外科高危重度主动脉瓣反流1例

“贞”心一“课”|TAVR简化术式治疗低射血分数重度主狭1例

“贞”心一“课”|3D打印技术协助介入治疗瓣周漏1例

“贞”心一“课”|经皮二尖瓣瓣中瓣植入病例介绍及经验分享

“贞”心一“课”|经导管二尖瓣置换治疗生物瓣衰败一例

“贞”心一“课”|经皮肺动脉瓣植入术病例

“贞”心一“课”|TAVR+PCI一站式治疗主动脉瓣狭窄合并冠心病患者1例

“贞”心一“课”|TAVR治疗横位心重度主动脉瓣狭窄1例

“贞”心一“课”|挑战性前交界flail合并二尖瓣环钙化病变成功TEER治疗一例

“贞”心一“课”|TAVR治疗0型二叶瓣大瓣环重度主动脉瓣狭窄并关闭不全1例

“贞”心一“课”|一站式左心耳封堵联合冠脉介入治疗一例

回顾更新 “贞”心一“课”|A1、A2区Flail+巨大心房的TEER治疗1例

回顾更新 “贞”心一“课”|P1区+前交界大脱垂TEER治疗1例

回顾更新 “贞”心一“课”|P1区瓣体瘤并破裂穿孔TEER治疗1例

回顾更新 “贞”心一“课”|二尖瓣复杂病变A1区脱垂累及前交界的TEER治疗1例

回顾更新 “贞”心一“课”|风湿性心脏病合并瓣叶脱垂TEER治疗1例

“贞”心一“课”|TAVR治疗合并尿毒症二叶瓣重度主动脉瓣狭窄1例

“贞”心一“课”|TAVR治疗外科高危重度主动脉瓣狭窄1例

“贞”心一“课”|经皮二尖瓣瓣中瓣植入1例

“贞”心一“课”|TEER成功治疗二尖瓣后内侧交界脱垂复杂病变

“贞”心一“课”|经导管缘对缘修复技术一站式成功处理二尖瓣和三尖瓣脱垂病变1例

“贞”心一“课”|TAVR治疗外科高危重度主动脉瓣反流1例

“贞”心一“课”|TAVR治疗高龄主动脉瓣重度狭窄一例

“贞”心一“课”|TEER成功治疗外交界隆起合并P3区宽大Flail病变一例

“贞”心一“课”|SENTINELTM脑栓塞保护装置下TAVR治疗重度主动脉瓣狭窄一例

“贞”心一“课”|全程Multivue下引导钳夹1例

“贞”心一“课”|ECMO辅助下TAVR治疗外科高危重度主动脉瓣狭窄1例




来源:APSH青年俱乐部



本文内容为《门诊》杂志原创内容

转载须经授权并请注明出处。

Clinic門诊新视野 微信号:ClinicMZ

《门诊》杂志官方微信

长按,识别二维码,加关注

转载请说明出处 内容投诉内容投诉
九幽软件 » 心一(心一跳,爱就开始煎熬)